Meeting Web banner

SAVS Home SAVS Home Past & Future Meetings Past & Future Meetings

Back to 2024 Posters


Landing Zones Optimization UsingTranscatheter Electrosurgical Septotomy for Endovascular Repair of Post-dissection Aortic Aneurysms
Andres V Figueroa1, Jose Eduardo E Costa-Filho1, Mira T Tanenbaum1, Lucas R Kanamori1, Natalia I Coronel1, Marilisa Soto-Gonzalez1, Gerardo H Gonzalez-Guardiola1, Mirza S Baig1, Gustavo A Oderich2, Carlos H Timaran1
1University of Texas Southwestern Dallas, Dallas, TX;2University of Texas Southwestern Dallas, Houston, TX

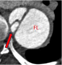
Background: Aortic dissection is the second most common reason for aneurysmal degeneration. While endovascular repair is preferred over open techniques, this approach remains challenging, and multiple secondary interventions are required for complications related to dissection of potential landing zones (LZs) (Fig 1). This study aims to report the early outcomes of routine adjunctive use of transcatheter electrosurgical septotomy (TES) to optimize LZs for endovascular repair of post-dissection aortic aneurysms (PDAAs).
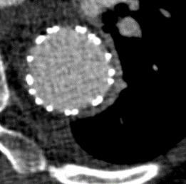
Methods: Consecutive endovascular repairs with adjunctive TES performed for PDAAs between 2022-2023 at two institutions were reviewed. TES was systematically performed to ensure that all grafts were deployed within false lumen-free LZs (Fig 2). Endpoints included TES technical success, defined by the absence of any type Ia or Ib endoleak or entry flow, procedure technical success, aortic true lumen (TL) diameter expansion, major adverse events (MAEs), and 30-day mortality.
Results: Among 121 patients who underwent endovascular repair for PDAAs, 19 (74% male; mean age 57±23 years) underwent adjunctive TES for either acute (10%) or chronic (90%) aortic dissections. Three patients (16%) were treated for genetic-related aortic dissection including two Marfan’s and one Turner’s syndrome. The mean aneurysm sac diameter was 51.9±17.3 mm and median operative time was 175 min [interquartile range, IQR 120-242]. After TES, twenty-one optimized LZs were created. Sixteen distal LZs, including 12 aortic and 4 iliac, were optimized for 11 thoracic endovascular aneurysm repairs (TEVARs), 1 arch device repair, 2 fenestrated and branched endovascular aneurysm repairs (FB-EVARs) and 1 endovascular aneurysm repair (EVAR). Additionally, five optimized proximal LZs were achieved for 3 EVARs and 2 FB-EVARs. TES technical success was 95%. Procedure technical success was 100%, with all grafts and stents deployed as planned. TL diameter increased from 10.9±4.8 mm to 27.5±12.1 mm (P<.001). Median follow-up was 3 months [IQR 0-8]. One patient (5%) had a type Ib entry flow treated with false lumen coil embolization. No MAEs related to TES, or 30-day mortality occurred.
Conclusions: Transcatheter electrosurgical septotomy may be used as an adjunct to create optimal landing zones for endovascular repair of PDAAs. Further studies should address the long-term outcomes of these repairs.


Back to 2024 Posters